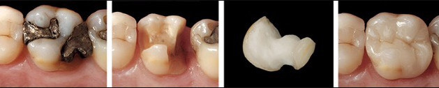
Les Inlays et les Onlays sont des pièces prothétiques en céramique ou composite qui remplace une partie manquante ou défectueuse de la dent tout en la gardant vivante. Ils sont une alternative aux résines de volume important et permettent de préserver plus de matière vivante en évitant la mise en place d'une prothèse plus mutilante pour la dent.
Ils sont réalisés en laboratoire de prothèse ou bien par le système de Fabrication assistée par ordinateur.
Le résultat esthétique est optimal avec une teinte très proche de la dent naturelle.

Le traitement:
Lors d'une première séance, le dentiste nettoie la carie et prépare une cavité qui accueillera l'Inlay lorsque la cavité se situe à l'intérieur des parois de la dent, l'Onlay lorsque celle-ci englobe une ou plusieurs parois. Une empreinte est réalisée pour fabriquer l'Inlay (ou l'Onlay) en un bloc de biomatériau céramique.
A la deuxième séance, l'Inlay (ou l'Onlay) est essayé et fixé dans la cavité de la dent à l'aide d'adhésifs.
Avantages:
La résistance mécanique est meilleure que celle des plombages ou résines classiques. Le joint de meilleure qualité augmente la fiabilité du point de contact avec les dents adjacentes et réduit le risque de reprise de carie.
Dans le cas de carie de volume important, ils permettent d'éviter la pose de couronne dentaire, plus mutilante pour la dent.