La contention: après le traitement orthodontique actif.
 
Introduction:
 
Une fois l'appareil orthodontique actif déposé, il est nécessaire de maintenir les résultats acquis par un appareil de contention sous peine de récidive de l'anomalie initiale ou d'apparition d'une nouvelle pathologie.
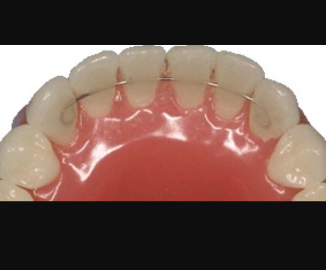
Cet appareil de contention peut être fixe ou amovible. S'il est amovible, il sera porté selon les indications, 24h/24, 15h/24 ou la nuit soit 8h/24. La durée du port est au minimum d'un an. Il est parfois nécessaire de le garder 5 ans, 10 ans ou toute la vie.
Le problème de la récidive de la malocclusion initiale:
 
Il s'agit d'une préoccupation importante pour l'orthodontiste car aucun résultat de traitement de peut être assuré de façon permanente. En effet, les phénomènes devieillissement, l'usure, l'affaiblissement du parodonte, l'apparition de nouvelles dysfonctions ou la perte d'unité dentaire sont autant de facteurs qui peuvent perturber la qualité du résultat de fin de traitement orthodontique. La contention joue ici un rôle majeur.
 
Quelles sont les formes cliniques principales de ces nouvelles anomalies qui réapparaissent?

  •     L'encombrement dentaire: c'est la récidive, la plus fréquente.
  •   La réapparition de surplomb incisif: toutes les dents maxillaires se remettent un peu en avant.
  •   La réapparition des dents supérieures et inférieures trop en avant. Les lèvres ne se touchent pas.
  •   L'apparition d'une béance verticale incisive: le bord des incisives ne se touchent pas et elles ne peuvent plus couper les aliments.
  •   Aggravation de l'excès: excès de recouvrement des incisives.
  •   Apparition d'une occlusion inversée antérieure ou latérale.